Leveraged years of experience and technology in lighting industry, Godox keeps offering photographers in various fields professional lighting tools that enhance their business. Through rigorous tests and refinements, we are proud to present the MF-R76S+, the dedicated dental ring flash for Sony cameras, and the perfect lighting tool for esthetic dentistry.
Godox has teamed up with the Sony in Europe to offer a more comprehensive dental solution to dentists. A complete Dental Photography Solution is now available.
The MF-R76S+ is seamlessly compatible with Sony cameras A7M4, A7R5, A6400, and ZV-E10 when matched the renowned macro lens FE90MM (SEL90M28G). A combination that will maximize the advantages of both the camera and flash, offering dentists a complete system that enhances the workflow.
The MF-R76S+ is a dental ring flash meticulously designed to cater to the specific needs of esthetic dentistry. Therefore it has undergone rigorous professional testing by experienced and influential dentist - Dr. Alessandro Devigus, whose expertise has enabled us to optimize the MF-R76S+ specifically for the lighting needs of dental photography, providing the highest level of assurance and reliability for dental photography.
The MF-R76S+ has been designed to offer the smoothest possible workflow for the dentist and dental teams. With its calibrated TTL mode for dental photography, the MF-R76S+ ensures seamless synchronization between the camera and flash setting. Even you are new to photography as a dentist, the MF-R76S+ guarantees that you can effortlessly capture dental images that meet the professional standards.
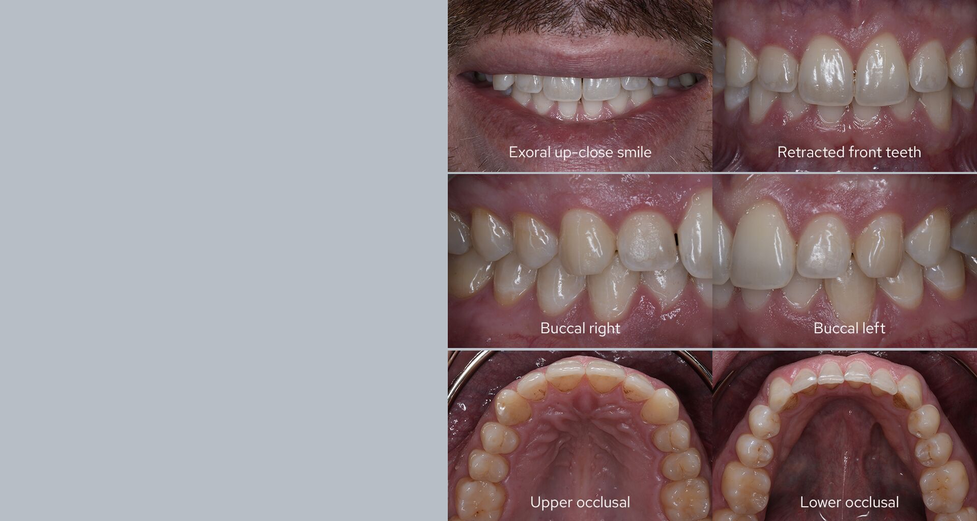
Take the advantage of the ring shape on-axis with camera lens, a design originated from dental photography, the MF-R76S+ ensures even illumination and eliminates unwanted shadows from various angles during intraoral and extraoral photography, helping dentists to capture the image with more accuracy.
Accurate reproduction and consistent color temperature output are crucial for dentists. When paired with Sony cameras, the MF-R76S+ will provide you a dependable and trustworthy photography system throughout your treatment process.
The focusing assist beam enables quick and precise focusing, avoiding misfocus and the need for repeated shots. This feature enhance the efficiency of dental photography, as well as provides an enjoyable treatment experience for your patients.
The MF-R76S+ comes with a rechargeable lithium battery capable of delivering an impressive 550 flashes on a full charge. Additionally, Godox offers optional extra battery VB26 for purchase, ensuring uninterrupted power supply during your work. With MF-R76S+, the entire clinic can benefit from stress-free dentistry.



| Product Name | Dental Ring Flash |
| Model | MF-R76S+ |
| Guide No. | GN14(ISO 100, in meter) |
| Compatible Camera | Sony (A7M4, A7R5, A6400, ZV-E10) *To ensure a better light result for dental photography , FE90mm(SEL90M28G) is suggested to use. |
| Lithium Battery | 7.2V/2980mAh |
| Flash Power (1/ 1 Power Output) | 76Ws |
| Flash CCT | 5900K±200K |
| Focus assist beams Power | 0.7W*2 |
| Focus assist beams CCT | 5300K±200K |
| Flash Power Range | 1/1-1/256 (with 1/3 increment each stop) |
| Flash Duration | 1/300s~1/20000s |
| Flash Mode | TTL Flash, M (Manual) Flash |
| Exposure Range | -3~+3 EV , with 1/3 EV increment each stop |
| HSS | Yes |
| First Curtain Sync | Yes |
| Second Curtain Sync | Yes (set on camera) |
| lnner Diameter of Light Body | 77mm |
| Recycle Time | 0.1-1s |
| Full Power Flashes | 550 |
| Wireless Transmission Distance | 0-100m |
| CH | 32 groups: 01-32 |
| ID | 99: 01-99 |
| Working Environment Temperature | -10~50℃ |
| Ring Flash Dimension | 130*130*27mm/5.1*5.1*1 inches |
| Controller Dimension | 120*70*50mm/4.7*2.7*1.9 inches |
| Net weight (with battery) | 578g/20.39oz |